|
MUMS Electron Microscope Unit
Buali (Avicenna) Research Institute
Electron microscope unit is located at north-west of BouAli research institute. The unit space is about 140 square meters.
In this unit, education courses on principles of transmission electron microscopy is Periodically offered for undergraduate students of Ferdowsi university, and Postgraduate students of anatomical science at MUMS. In addition, electron microscope unit has accomplished workshops on practical training of electron microscopy many times for applicants such as faculty Members and postgraduate students.
Research projects in this unit have been performed with cooperation of different research Departments or independently, for example: Ultra structure study of spermatogenesis Cells after exposure of morphine in adult male mouse. The tools and technical services for performing the thesis of postgraduate students Of MUMS and other universities have also been carried.
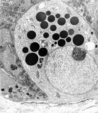
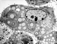
Electron microscope has been used in all areas of biological and biomedical investigations because of its ability to view the finest cell structures, and it is also used as a diagnostic tool in pathology labs for improving diagnostic and treatment of disease.
Electron microscope unit offers the tools and technical services for research and training for those who do not necessarily want to operate the electron microscope instrument, or to prepare specimen themselves. The staff of the Electron microscope unit offer training and practical services including Microscope operation, specimen preparation, digital photography and Image analysis.
New services in IMU: Electron microscpe unit offers technical services in Immunoelectron microscopy to detect the intracellular location in structures of particular proteins.
|




